消化系统主要器官的微细结构
【实验目的】
1.掌握胃、小肠、肝的微细结构。
2.熟悉胰腺的微细结构。
3.了解消化管的基本结构。
【实验准备】
1.B203光学显微镜
2.空肠或回肠切片
3.胃底切片
4.肝切片
5.胰腺切片
6.擦镜纸、二甲苯、乙醚、酒精、棉签等
【实验学时】0.5学时
【实验方法与内容】
1.空肠或回肠(横切)切片(HE染色)
(1)肉眼观察:管腔面有凹凸不平的皱壁,粘膜染成紫蓝色,皱壁表面可见细小突起为小肠绒毛;外面一圈染成红色为肌层。
(2)低倍镜观察:粘膜表面有许多呈叶状突起的小肠绒毛,固有层内含有小肠腺。粘膜下层为疏松结缔组织,含有较多血管和淋巴管。肌层由内环行和外纵行两层平滑肌组成。外膜为浆膜。


(3)高倍镜观察:绒毛的浅层为单层柱状上皮,其间有杯状细胞。绒毛中轴的固有层结缔组织内有1-2条毛细淋巴管,称中央乳糜管。

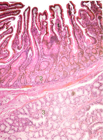
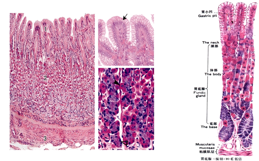
2.胃底切片(HE染色)
(1)肉眼观察:染为紫色的为管腔面的粘膜以及粘膜下层,肌层与外膜染为深红色。
(2)低倍镜观察:粘膜较厚,上皮为单层柱状上皮,上皮凹陷形成胃小凹,上皮细胞界限清楚。固有层内含有许多胃腺。黏膜下层为疏松结缔组织,含有血管和神经。肌层由内斜、中环、外纵三层平滑肌构成。外膜为浆膜。


(3)高倍镜观察:胃底腺主要由主细胞、壁细胞构成。主细胞数量最多,主要分布于腺的下半部,细胞呈柱状,核圆形,位于基底部,细胞质染成淡蓝色;壁细胞多分布于腺的上半部,细胞体积大,多呈圆锥形,核圆且染色较深,位于细胞中央,细胞质染成红色。


3.猪肝或人肝切片(HE染色)
(1)肉眼观察:猪肝切片中可见许多多边形的肝小叶;人肝切片肝小叶分界不明显。
(2)低倍镜观察:猪肝切片肝小叶分界清楚,中央静脉位于肝小叶中心,呈圆形或椭圆形,其周围有呈放射状排列的肝索,其形状不规则,肝索之间为肝血窦,相邻几个肝小叶之间为门管区。人肝切片肝小叶分界不明显。

(3)高倍镜观察:肝细胞呈多边形,界限较清,有1-2个细胞核,核大而圆,居中,染成紫蓝色,细胞质嗜酸性,染成粉红色;肝细胞排列成肝索,肝索之间为肝血窦,形状不规则,可见血细胞;门管区内有小叶间动脉、小叶间静脉、小叶间胆管,其中小叶间动脉腔小而圆、管壁较厚,小叶间静脉管腔较大、不规则、管壁薄,小叶间胆管管腔较小、管壁为单层立方上皮、细胞核圆、染成蓝色。


4.胰腺切片(HE染色)
(1)肉眼观察:表面有薄层粉染被膜,内部紫蓝色团块为胰小叶。
(2)低倍镜观察:被膜深入实质形成许多小叶,外分泌部由腺泡形成,腺泡上皮为单层立方上皮,腺泡染色较深,呈深红色;胰岛散在分布于腺泡之间,为大小不等、染色较浅的球形细胞团。

(3)高倍镜观察:胰岛细胞形成团块状或条索状,有A细胞、B细胞等,A细胞体积较大,多分布于周边部,B细胞主要位于胰岛的中央部。
呼吸系统主要器官的微细结构
【实验目的】
1.熟悉肺的微细结构。
2.了解气管及其分支的微细结构。
【实验准备】
1.B203光学显微镜
2.气管(横)切片
3.肺切片
4.擦镜纸、二甲苯、乙醚、酒精、棉签等
【实验学时】0.5学时
【实验方法与内容】
1.气管(横切)切片(HE染色)
(1)肉眼观察:切片呈环形,腔面紫红色为粘膜,外膜较厚,染成淡红色。
(2)低倍镜观察:靠近管腔呈淡紫红色区域为粘膜层,其上皮为假复层纤毛柱状上皮。粘膜层与透明软骨之间淡红色的区域为粘膜下层,由疏松结缔组织组成,内有较多的混合性腺。外膜较厚,由透明软骨及外周的平滑肌构成。

(3)高倍镜观察:粘膜由假复层纤毛柱状上皮和固有层构成,上皮染成紫红色,游离面可见明显刷状缘;粘膜下层与固有层与外膜无明显界限,混合性腺体较多,其细胞核排列似花环状;外膜由透明软骨、平滑肌及结缔组织构成,软骨陷窝明显可辨。

2.肺切片(HE染色)
(1)肉眼观察:结构疏松呈蜂窝状,大部分为肺的呼吸部,其间较大的腔隙为血管和支气管的断面。支气管断面管内壁染为紫色,管腔内干净无充填物;血管管腔内可见红色团块状的血液凝块充填。
(2)低倍镜观察:肺实质中可见许多染色较深、形态不规则的呈空泡状的肺泡;肺泡之间的结缔组织为肺泡隔;镜下可见小支气管及其各级分支的断面;

①小支气管:是切片中管径最粗、管壁最厚的管道;粘膜突入管腔形成皱壁,上皮为假复层纤毛柱状上皮,杯状细胞较少;粘膜深层与软骨碎片之间有间断的红色环形平滑肌束;粘膜下层薄,较少或无混合性腺;外膜中有大小不等的紫蓝色透明软骨碎片、红色平滑肌束。

②细支气管:管腔减小,管壁变薄,分层不明显;粘膜形成皱壁突入管腔,上皮渐变为单层纤毛柱状上皮;杯状细胞、混合性腺及软骨片很少或消失;环行平滑肌增多。

③呼吸性细支气管:管壁上出现少量肺泡开口,故管壁不完整;上皮为单层立方上皮,其深面有少量结缔组织与环形平滑肌。

④肺泡:切片上所见的许多半球形薄壁小囊泡,是肺泡;上皮细胞外形不明显。

(3)高倍镜观察:肺泡主要由两种细胞组成,Ⅰ型肺泡细胞,数量多,细胞扁平,胞质部极薄,可根据其面向肺泡腔的扁平的核分辨;Ⅱ型肺胞细胞散在分布,细胞呈立方或圆形,核大而圆,胞质染色浅。

泌尿系统主要器官的微细结构
【实验目的】
1.掌握肾的微细结构。
2.熟悉膀胱的微细结构。
【实验准备】
1.B203光学显微镜
2.肾切片
3.膀胱切片
4.擦镜纸、二甲苯、乙醚、酒精、棉签等
【实验学时】0.5学时
【实验方法与内容】
1.肾切片(HE染色)
(1)肉眼观察:浅部深红色是皮质,其中可见呈圆点状散在分布的肾小体;染色浅的部分为髓质。
(2)低倍镜观察:皮质内红色圆形结构是肾小体断面,其周围密集的管腔是近端小管曲部和远端小管曲部。深面无肾小体的部分是髓质,其内的各种管腔是近端小管直部、细段、远端小管直部和集合管的断面。

(3)高倍镜观察:
①肾小体:由血管球及肾小囊组成,血管球实质是一团毛细血管球,染成红色;肾小囊内层与毛细血管壁紧贴不易分清,外层为单层扁平上皮,两层间的透明腔隙为肾小囊腔。


②近端小管曲部:切面很多,管壁厚,管腔小而不规则;细胞为单层立方或锥形,细胞较大,分界不清,核圆位于基底部,细胞质染成红色,游离面有刷状缘。
③远端小管曲部:与近端小管相比,切面较少,管腔相对大而规则,由单层立方上皮围成,细胞较小,界限清晰,细胞质呈浅红色,游离面无刷状缘。
④细段:染成淡红色,管壁为单层扁平上皮,管腔小。
⑤集合管:管腔较大,上皮细胞由单层立方逐渐增高为柱状,细胞分界清楚,细胞核圆,染色较深,居中,细胞质染色浅,可呈粉色。
2.膀胱切片(HE染色)
(1)肉眼观察:染成紫蓝色的一侧是粘膜,其下方染色较浅的是肌层与外膜。
(2)低倍镜观察:粘膜有许多皱壁,肌层较厚,外膜较薄。
(3)高倍镜观察:粘膜层由变移上皮和固有层组成,上皮较厚,约8-10层(空虚时)细胞,表层为盖细胞,细胞大,呈矩形;肌层由内纵、中环、外纵三层平滑肌组成,外膜一般为纤维膜。
睾丸、子宫、卵巢的微细结构
【实验目的】
1.掌握睾丸的微细结构。
2.掌握卵巢的微细结构。
【实验准备】
1.睾丸切片(HE染色)
2.卵巢切片(HE染色)
3.子宫切片(HE染色)
4.显微镜等
5.擦镜纸、二甲苯、乙醚、酒精、棉签等
【实验学时】0.5学时
【实验方法和内容】
1.睾丸切片观察
(1)肉眼观察:分辨周边的白膜与内部的睾丸实质。
(2)低倍镜观察:可见睾丸实质内的精曲小管及其间的睾丸间质。

(3)高倍镜观察:精曲小管靠近基膜处有许多体积小、核圆和染色较深的精原细胞。在管腔侧可见被染成蓝色蝌蚪形的精子。


2.卵巢切片观察
(1)低倍镜观察:皮质位于卵巢的周围部,其内有许多不同发育阶段的卵泡。



(2)高倍镜观察:主要观察卵巢皮质

1)原始卵泡:位于卵巢皮质的浅层。中央部有一个大而圆的卵母细胞,染色较浅;围绕卵母细胞周围是一层扁平细胞,即卵泡细胞。


2)生长卵泡:处于不同发育阶段的生长卵泡其大小和形态结构不完全相同,但都有下列某一特征或全部特征:①卵泡或卵母细胞的体积较大。②卵母细胞的周围有嗜酸性透明带,染色呈粉红色。③卵泡细胞呈立方形,单层或多层。④卵泡细胞之间有大小不一的卵泡腔。⑤透明带周围出现放射冠。⑥卵泡周围结缔组织形成卵泡膜。


3)成熟卵泡:结构与晚期的生长卵泡相似,但体积更大,并向卵巢表面凸出。

完成实验报告

