教学内容
胃癌是来源于胃粘膜上皮或腺体的恶性肿瘤,福建省长乐市为高发区,好发于40岁以上的中老年人。
(一)病因
1.饮食因素:腌菜、咸鱼等含亚硝胺高的食物,食用发霉的花生、大米等(含黄曲霉素)。
2.幽门螺杆菌(HP):胃癌发生的危险因子,其并非是胃癌的直接致
癌物,而是通过对胃粘膜的损伤促进病变的发展。
遗传因素:胃癌患者的亲属中胃癌发生率明显高于对照组。
(二)组织发生
1.细胞来源:胃腺颈部干细胞(胃小凹深部)是胃癌发生的始发点,
该细胞具有多向分化的潜能。
2.肠上皮化生:大肠型不完全化生的上皮对致癌物质吸收增多,DNA倍体异常增多,易转变为胃癌。
3.不典型增生:胃腺颈部干细胞的分化偏离正常方向,表现为形态和功能的异常,据其程度不同分为轻、中、重三种。
(三)病理变化
胃癌好发于胃窦部小弯侧,越靠近幽门部发病率越高。
1.早期癌:癌组织浸润仅限于粘膜层及粘膜下层,不论其面积大小及是否有淋巴结转移。故早期癌可分为粘膜内癌和粘膜下癌。
早期癌中9.9%有淋巴结转移,但5年生存率与无淋巴结转移者相似,可达到90%以上。
微小胃癌:早期胃癌中癌灶的直径在5 mm以下者。
小胃癌: 癌灶直径在6 mm至10 mm之间者。
(1)肉眼形态分三型:
①隆起型:癌变组织高出胃粘膜厚度2倍以上。
②浅表型:①浅表隆起型(IIa):隆起高度不超过粘膜厚度的2倍;
②浅表平坦型(IIb):胃粘膜粗糙,临床诊断困难;
③浅表凹陷型(IIc):胃粘膜层糜烂,深度不超过粘膜厚度。
③凹陷型:多见,深度一般不超过粘膜下层,个别深达肌层。
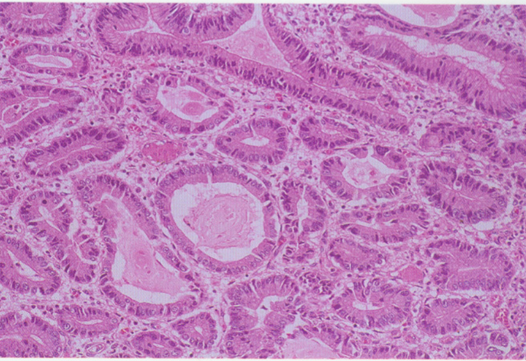
(2)组织学类型:管状腺癌最多见,其次为乳头状腺癌,未分化癌最少。
(3)早期诊断方法:纤维胃镜。
2.进展期胃癌
(1)肉眼形态分三型:
①息肉/蕈伞型(结节状)

②溃疡型:最多见。

③浸润型:
A:局部浸润型:癌组织局限于胃窦部/幽门部。
B:弥漫浸润型:即“革囊胃”,癌组织弥漫浸润胃壁各层伴纤维组织增生,使胃腔缩小,皱壁消失,质地变硬,呈皮革状,称之。特征为“厚、硬、小“。


胶样癌:特殊类型,癌组织呈蜂窝状,可见灰白色胶冻样黏液。

思考题:比较恶性溃疡与良性溃疡的肉眼形态区别
如何鉴别溃疡癌变与溃疡型胃癌?
良性溃疡 恶性溃疡
外形 圆或椭圆形 火山口状
大小 直径<50px 直径>50px
深度 较深 较浅
边缘 整齐不隆起 不整齐隆起
底部 较平坦 凹凸不平
周围粘膜 皱襞向溃疡集中 皱襞中断隆起

(2)组织学类型:
以腺癌最常见,分乳头状腺癌、管状腺癌(据分化程度不同分高分化、中分化、低分化腺癌)、黏液腺癌、印戒细胞癌等,以乳头状腺癌、管状腺癌最多见。
少见类型有腺鳞癌、鳞癌、未分化癌等


胃管状腺癌 高倍
(四)扩散与转移
1.直接扩散:扩散至胃周围脏器如肝、胰、大小网膜等。
2.淋巴道转移:由近至远,由浅入深转移。
(1)小弯侧冠状静脉旁淋巴结→腹主动脉旁淋巴结→肝门淋巴结→肝内
(2)幽门下淋巴结→肠系膜根部淋巴结→纵隔淋巴结
(3)大弯侧淋巴结→大网膜淋巴结
晚期:胸导管→左锁骨上淋巴结→血液
3.血道转移:癌细胞→胃肠静脉→门静脉→肝
淋巴道转移→胸导管→上腔静脉→肺、骨、脑等。
4.种植性转移:癌细胞浸润至胃浆膜外,脱落种植于腹壁和盆腔器官上。常转移至卵巢,卵巢转移性粘液癌称Krukenberg瘤。

