教学内容---肝硬化
概述:由于肝细胞弥漫性变性坏死、纤维组织增生、肝细胞结节状再生这三种病变反复交错进行,致使肝小叶结构和血液循环途径逐渐被改建,使肝脏变形、变硬而形成肝硬变。晚期出现门脉高压和肝功能障碍。
一、病因与发病机制:
(一)病因:
1.病毒性肝炎:尤其是乙型和丙型病毒性肝炎(我国为主)。
2.慢性酒精中毒:欧美国家更为突出。
3.胆汁淤积
4.药物、毒物损伤
5.代谢障碍
6.营养障碍
7.其他:血吸虫、淤血等
8.原因不明
(二)发病机制:

增多的胶原纤维的来源:
1.塌陷的网状支架胶原化、窦状隙中的贮脂细胞转变为成纤维细胞;
2.汇管区的成纤维细胞增生并产生胶原纤维。
二、分型
肝硬变分类复杂:
按病因可分为:病毒肝炎性、酒精性、胆汁性、隐源性肝硬化;
按形态可分为小结节型(最大直径<3mm、大结节型(>3mm)、大小结节混合型。
结合病因和形态及临床表现可分为:门脉性肝硬变、坏死后性肝硬变、胆汁性、淤血性、寄生虫性和色素性肝硬变。
三、病理变化:
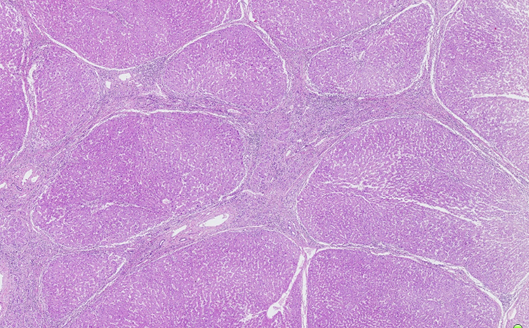
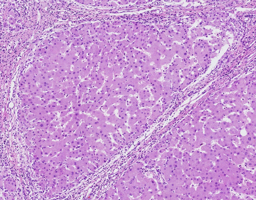
(一)肉眼:早、中期肝体积正常或略增大,质地较硬;后期:缩小、减轻。表面、切面呈小结节状,结节大小相仿。切面见小结节间为纤维组织条索包绕。


(二)镜下:1.假小叶形成。正常肝小叶结构被破坏,由广泛增生的纤维组织将原来的肝小叶分割包绕成大小不等、圆形或椭圆形的肝细胞团。2.纤维间隔宽窄较一致,内有少量淋巴细胞、单核细胞浸润,并可见小胆管增生。
假小叶:
定义:肝硬化时,正常肝小叶结构被破坏,由广泛增生的纤维组织将肝细胞再生结节分割包绕成大小不等、圆形或椭圆形的肝细胞团。
特点:*大小不一,排列紊乱
*中央静脉缺如或偏位
*肝细胞变性或坏死、再生


三、临床病理联系:
1、门脉高压症:
(1)肝内血液循环途径
门V(功能血管)
肝A(营养血管)
门V→左、右支→肝叶V→肝段V→小叶间V→终末门微
肝A→左、右支→肝叶A→肝段A→小叶间A→终末肝微A
→肝血窦→中央V→小叶下V→肝V→下腔V
(2)门脉高压症原因

(3)门脉高压症临床表现
1)脾肿大:慢性淤血所致;
2)胃肠淤血、水肿
3)腹水:流体静压升高;低蛋白血症;水钠潴留。
4)侧支循环形成:
①食管下段静脉丛曲张:冠状静脉-食管下段静脉-奇静脉-下腔静脉
②直肠静脉丛曲张:肠系膜下静脉-直肠静脉-髂内静脉-下腔静脉
③脐周及腹壁静脉曲张:脐旁静脉-上腔静脉:海蛇头结构
腹壁上、下静脉-下腔静脉:
2、肝功能不全:
(1)睾丸萎缩、男子乳腺发育症:肝对雌激素灭能作用减弱。
(2)蜘蛛状血管痣:小动脉末梢扩张形成。
(3)出血倾向:合成凝血酶原、凝血因子和纤维蛋白原减少、脾功能亢进。
(4)黄疸:阻塞性黄疸和肝细胞性黄疸。
(5)肝性脑病(肝昏迷):肝功衰竭引起的氨中毒。
思考题:比较门脉性肝硬变和坏死后性肝硬变的不同点
大结节性肝硬变 小结节性肝硬变
1.常见病因 轻型肝炎、慢性酒精中毒精 重型肝炎、中毒性肝炎
2.肝体积重量 早期增大,后缩小,重量减轻 体积缩小,重量减轻明显
3.肝质地 硬 更硬
4.结节形态 小结节(直径多<3mm) 大结节 (直径>3mm)
5.纤维间隔 细,均匀 宽,厚薄不均
6.镜下改变 假小叶大小不等,圆或椭圆形 大小不等明显,形状不一,
炎细胞浸润和小胆管增生显著
7.临床表现 门脉高压明显,肝功能障碍较轻 肝功能障碍明显,门脉高压较
轻,癌变率高

