教学内容
由肝细胞或肝内胆管上皮发生的恶性肿瘤。是我国常见的恶性肿瘤之一,占男性肿瘤第三位,国内以江苏启东和广西扶绥发病率最高,欧美发病率较低(5/10万),男:女约为4-8:1。好发年龄为40~60岁,近年发病有年轻化倾向。
(一)病因
1.病毒性肝炎:HBV和HCV与肝癌发生关系密切。统计发现肝癌患者HBV阳性率达90%,60-70%患者检测到HCV抗体。
2.肝硬变:统计发现肝癌合并肝硬变占84.6%,多数为坏死后性肝硬变,其次为门脉性肝硬变。可能肝细胞坏死后出现肝细胞再生→异型增生→癌变。
3.真菌及毒素:黄曲霉素B1有强烈的致癌作用(经动物实验证实),发现在肝癌高发区食物被污染严重,但目前尚无直接证据。
4.亚硝胺类化合物。
(二)病理变化
1.早期癌(小肝癌):单个瘤体直径<3cm,或两个癌结节直径总和<3cm。患者多无临床症状,又称亚临床肝癌。
早期诊断方法:AFP检测,超声波诊断(B超)。
2.中晚期肝癌:肝脏体积明显增大,癌组织可局限一叶(右叶多见),也
可弥漫。
(1)肉眼分型:
①巨块型:单个大肿块,直径可达10cm,多位于右叶,易引起破裂大出血

②多结节型:最常见,占肝癌患者的2/3,结节大小不等。

③弥漫型:最少见,米粒至黄豆大的结节弥漫分布,多由肝硬变发展而来。
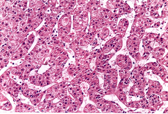
(2)组织学类型:
(1)肝细胞癌:由肝细胞发生的癌肿,最多见(90%)。
分化好→癌细胞多角形,核大,有丰富的血窦,分泌胆汁,间质少。

分化差→异型性明显,有瘤巨细胞。
(2)胆管上皮癌:由胆管上皮发生的恶性肿瘤,少合并肝癌,与华枝睾吸虫感染有关。镜下见癌组织呈腺管结构,癌细胞分泌粘液,间质多。
(3)混合性肝癌:最少见,具有肝癌细胞和胆管上皮癌两种结构。
(三)扩散和转移
1、肝内播散
(1)肝内直接蔓延
(2)沿门静脉分支播散、转移
2、肝外转移
(1)血道转移:首先沿门静脉分支在肝内蔓延和转移,阻塞门静脉主干可引起门脉高压,晚期经肝静脉到达肺、骨、肾上腺和脑。
(2)淋巴道转移:最先转移至肝门淋巴结,其次为上腹部及腹膜后淋巴结。
(3)种植性转移:转移到腹膜→血性腹水,亦可转移至卵巢。

