教学内容(重点内容--红色字体)
感染性疾病
本章重点介绍感染性疾病中的特殊群体————传染病
传染病是由病原微生物通过一定的传播途径进入易感人群的个体所引起的一组疾病,并能在人群中引起流行。
传染病的特点:
①有明确的病原体:每一种传染病都有它特异的病原体;病原体入侵人体,常有一定的传染途径和方式;定位于一定的组织或器官。
②有传染性。
③有流行病学特征:同时具备传染源、传播途径和易感人群三个基本环节。
④病变的基本性质属于炎症范畴。
传染病曾在世界各地流行,严重威胁人类的健康。在许多发展中国家,传染病仍是主要的健康问题。近年来由于基因诊断技术和有效抗生素的应用,传染病的诊断和治疗取得了很大进展。
本章仅重点介绍结核病、伤寒、细菌性痢疾和性传播性疾病。其他传染病在相关章节中述及。
结 核 病
一、概 述
结核病(tuberculosis)是由结核杆菌引起的一种慢性肉芽肿病。以肺结核最常见,但可见于全身各器官。典型病变为结核结节形成伴有不同程度干酪样坏死。
结核病曾经威胁整个世界,由于有效抗结核药物的发明和应用,由结核病引起的死亡一直呈下降趋势。上世纪80年代以来由于艾滋病的流行和耐药菌株的出现,结核病的发病率又趋上升。中国结核病人数位居世界第二,仅次于印度。因此世界卫生组织已将结核病作为重点控制的传染病之一,并宣布全球结核病已处于紧急状态(1993年)。
一、病因和发病机制
1.病原体:结核分枝杆菌,主要是人型、牛型。致病力与菌体的化学成分尤其是脂质成分有关。

2.感染途径:
经呼吸道传染:是最常见和最重要的途径;

少数可经消化道感染(食入带菌的食物);极少经皮肤伤口感染。
3.发病机制:
结核杆菌经呼吸道进入肺内,由肺内巨噬细胞对其进行吞噬,由于机体初次感染结核杆菌,巨噬细胞对其无杀灭能力,结核杆菌在细胞内繁殖。
4.结核病的发生、发展主要取决于感染细菌数量的多少、毒力的大小及机体的反应性(免疫反应和变态反应)。
免疫反应:细胞免疫反应为主。表现为结核结节的形成。临床上皮肤结核菌素试验阳性。

变态反应:Ⅳ型(迟发型)变态反应。表现为干酪样坏死。
结核病的免疫反应和变态反应(Ⅳ型)常同时发生和相伴出现。若免疫反应占优势,病灶局限,结核杆菌被杀灭;若变态反应为主,则机体呈现有结构和功能损害的结核病。
二、结核病的基本病理变化(重点!)
1.以渗出为主的病变
①出现于疾病的早期或机体抵抗力低下,菌量多,毒力强或变态反应较强时。
②主要表现为浆液性或浆液纤维素性炎。
病变早期局部有中性粒细胞浸润,但很快被巨噬细胞所取代。在渗出液和巨噬细胞中可查见结核杆菌。
③好发于肺、浆膜、滑膜和脑膜等处。
④渗出物可完全吸收不留痕迹,或转变为以增生为主或以坏死为主的病变。

2.以增生为主的病变
①细菌量少,毒力较低或人体免疫反应较强时。
②表现为结核结节形成。(重点!)
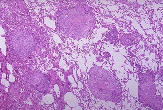
肉眼:单个结核结节非常小,直径约0.1mm,肉眼和X线片不易看见。三、四个结节融合成较大结节时才能见到。这种融合结节境界分明,约粟粒大小,呈灰白半透明状。有干酪样坏死时略显微黄,可微隆起于器官表面。
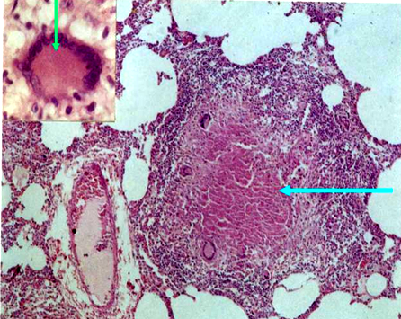
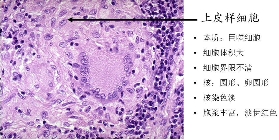
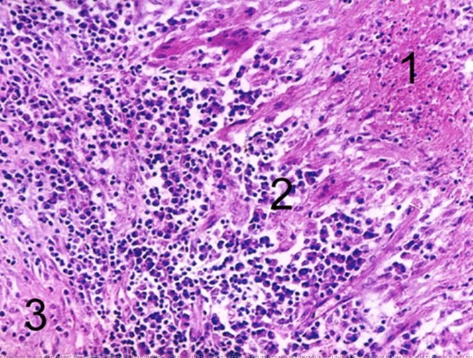
镜下:典型结核结节(tubercle)中央有干酪样坏死,周围由上皮样细胞、朗格汉斯巨细胞加上外周局部集聚的淋巴细胞和少量反应性增生的成纤维细胞构成。




3.以坏死为主的病变
①在结核杆菌数量多、毒力强,机体抵抗力低或变态反应强时。
②表现为干酪样坏死。
肉眼:淡黄色、均匀细腻,质地较实,状似奶酪。

镜下:红染无结构的颗粒状物。
干酪样坏死对结核病病理诊断具有一定的意义。
干酪样坏死物中大都含一定量的结核杆菌,可成为结核病恶化进展的原因。

渗出、坏死和增生三种变化往往同时存在而以某一种改变为主,而且可以互相转化。

三、结核病基本病理变化的转化规律
结核病的发展和结局取决于机体抵抗力和结核杆菌致病力之间的矛盾关系。在机体抵抗力增强时,结核杆菌被抑制、杀灭,病变转向愈合;反之,则转向恶化。
1.转向愈合
(1)吸收、消散
为渗出性病变的主要愈合方式。渗出物经淋巴道吸收而使病灶缩小或消散。
X线可见边缘模糊、密度不匀、呈云絮状的渗出性病变的阴影逐渐缩小或被分割成小片,以至完全消失,临床上称为吸收好转期。
较小的干酪样坏死灶及增生性病灶,经积极治疗也有吸收消散或缩小的可能。
(2)纤维化、钙化
增生性病变和小干酪样坏死灶,可逐渐纤维化,最后形成瘢痕而愈合。


较大的干酪样坏死灶难以全部纤维化,则由纤维组织包裹,继而坏死物逐渐干燥浓缩,并有钙盐沉着。钙化的结核灶内常有少量结核杆菌残留,此病变临床虽属痊愈,但当机体抵抗力降低时仍可复发进展。临床称为硬结钙化期。
X线检查,可见纤维化病灶呈边缘清楚,密度增高的条索状阴影;钙化灶为密度甚高、边缘清晰的阴影。

2.转向恶化
(1)浸润进展
疾病恶化时,病灶周围出现渗出性病变,范围不断扩大,并继发干酪样坏死。X线检查,原病灶周围出现絮状阴影,边缘模糊,临床上称为浸润进展期。
(2)溶解播散
病情恶化时,干酪样坏死物可发生液化,经体内的自然管道(如支气管、输尿管等)排出,其中含有大量结核杆菌,可通过自然管道播散到其他部位,形成新的结核病灶。X线检查,可见病灶阴影密度深浅不一,出现透亮区及大小不等的新播散病灶阴影。临床称为溶解播散期。此外,结核杆菌还可循血道、淋巴道播散至全身各处。


二、肺结核病
(此部分内容为重点内容)
结核病中最常见的是肺结核。
肺结核病可因初次感染和再次感染结核菌时机体反应性的不同,而致肺部病变的发生发展各有不同的特点,从而可分为原发性和继发性肺结核病两大类:
一、原发性肺结核病(primary pulmonarytuberculosis)
指第一次感染结核杆菌所引起的肺结核病。
多发生于儿童,但也偶见于未感染过结核杆菌的青少年或成人。免疫功能严重受抑制的成年人由于丧失对结核杆菌的敏感性,可多次发生原发性结核病。
(一)病变特点:肺原发综合征形成(重点!)
肺的原发病灶、淋巴管炎和肺门淋巴结结核三者合称为肺原发综合征,X线呈哑铃状阴影。


肺的原发病灶:在通气较好的上叶下部或下叶上部近胸膜处形成1-1.5cm大小的灰白色炎性实变灶(Ghon灶),绝大多数病例病灶中央有干酪样坏死。
结核杆菌很快侵入淋巴管,循淋巴液引流到局部肺门淋巴结,引起结核性淋巴管炎和淋巴结炎,表现为淋巴结肿大和干酪样坏死。


(二)结局
1.95%左右的患者自然痊愈。小的病灶可完全吸收或纤维化,较大的病灶则发生纤维包裹和钙化。
2.有时肺内原发灶虽已愈合,而肺门淋巴结病变继续发展,形成支气管淋巴结结核。
3.少数营养不良或同时患有其他传染病的患儿,肺内原发灶及肺门淋巴结病变继续扩大,并通过支气管、淋巴管和血道播散。
①支气管播散:少见,引起邻近或远隔的肺组织发生小叶性干酪样肺炎。
②淋巴道播散:肺门淋巴结病变恶化进展时,细菌可经引流淋巴管蔓延至气管分叉处、气管旁、纵隔及锁骨上下淋巴结,引起病变。如果引流淋巴管因结核病变发生阻塞,病菌可逆流到腋下、腹股沟、腹膜后及肠系膜淋巴结,颈淋巴结也可受累,引起广泛的淋巴结结核。
③血道播散:血源性结核病(粟粒性结核病和肺外结核病)。
二、继发性肺结核(secondary pulmonary tuberculosis)
指再次感染结核杆菌所引起的肺结核病。
多见于成人。可在原发肺结核病后很短时间内发生,但大多在初次感染后十年或几十年后由于机体抵抗力下降使暂停活动的原发病灶再活化而形成。
继发性肺结核根据其病变特点和临床经过可分以下几种类型:
1.局灶型肺结核:是继发性肺结核病的早期病变
肉眼:常位于肺尖下2-4cm处,直径0.5-1cm,病灶境界清楚,有纤维包裹。

镜下:病变以增生为主,中央为干酪样坏死。
X线:肺尖部有单个或多个结节状病灶。
病人常无自觉症状,多在体检时发现。属非活动性结核病。
2.浸润型肺结核:是临床上最常见的活动性、继发性肺结核。病人常有低热、疲乏、盗汗、咳嗽等症状。
来源:多由局灶型肺结核发展而来。
病变:以渗出为主,中央有干酪样坏死,病灶周围有炎症包绕。

X线:锁骨下可见边缘模糊的云絮状阴影。
结局:
①如及早发现,合理治疗,渗出性病变可吸收;增生、坏死性病变,可通过纤维化、钙化而愈合。
②如病变继续发展,浸润进展、溶解播散形成急性空洞及干酪性肺炎。
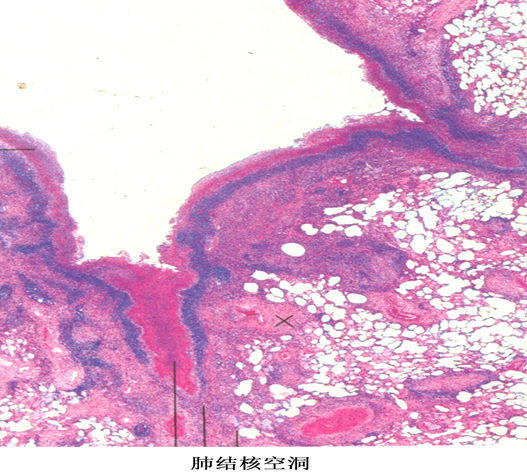
急性空洞:经适当治疗后,可形成瘢痕组织而愈合;经久不愈,则可发展为慢性纤维空洞型肺结核。

3.慢性纤维空洞型肺结核:又称开放性肺结核,是本病最主要的传染源!
病变特点:
①肺内有一个或多个厚壁空洞。多位于肺上叶,大小不一,不规则。
②同侧或对侧肺组织,特别是肺下叶可见由支气管播散引起的很多新旧不一、大小不等,病变类型不同的病灶。愈往下愈新鲜。
③后期肺组织广泛纤维化、胸膜增厚并与胸壁粘连,使肺体积缩小、变形。


厚壁空洞病理变化:
壁厚可达1cm,镜下:镜下洞壁由内到外可分三层,内层 为干酪样坏死物(含多量结核杆菌),中层为结核性肉芽组织,外层为纤维结缔组织。


结局:经治疗,空洞可机化、闭塞或开放性愈合。
后期硬化性肺结核----肺动脉高压----肺源性心脏病
临床表现:咳嗽、咳痰、咯血等症状,严重可出现气胸或脓气胸。痰中含有结核杆菌,可引起喉结核、肠结核。
结局:①较小的空洞一般可机化,收缩而闭塞。
②体积较大的空洞,开放性愈合。
4.干酪性肺炎
来源:①由浸润型肺结核恶化进展而来。
②也可由急、慢性空洞内的细菌经支气管播散所致。
根据病灶范围的大小分小叶性和大叶性干酪性肺炎。
肉眼:肺叶肿大实变,切面黄色干酪样,坏死物液化排出后可有急性空洞形成。

镜下:主要为大片干酪样坏死灶。肺泡腔内有大量浆液纤维蛋白性渗出物。
此型结核病病情危重,死亡率高。

5.结核球:又称结核瘤(tuberculoma)
结核球:是直径2-5cm,有纤维包裹的孤立的境界分明的干酪样坏死灶。多为单个,也可多个,常位于肺上叶。
来源:①浸润型肺结核的干酪样坏死灶纤维包裹;
②结核空洞引流支气管阻塞,空洞由干酪样坏死物填充;
③多个结核病灶融合。
结核球由于其纤维包膜的存在,抗痨药不易发挥作用,且有恶化进展的可能。因此临床上多采取手术切除。

6.结核性胸膜炎
根据病变性质可分干性和湿性两种,以湿性结核性胸膜炎为常见。
湿性结核性胸膜炎:又称渗出性结核性胸膜炎,多见于年轻人。病变主要为浆液纤维素性炎。
结局:①一般经适当治疗可吸收;②如渗出物中纤维素较多,可因机化而使胸膜增厚粘连。
干性结核性胸膜炎:又称增殖性结核性胸膜炎。
来源:由肺膜下结核病灶直接蔓延到胸膜所致。
常发生于肺尖。病变多为局限性,以增生性改变为主。一般通过纤维化而愈合。
(重点!)原发性肺结核与继发性肺结核在许多方面有不同的特征,其差别见表2。

AIDS病人结核病不仅发病率明显增高,而且有不同的临床特征。其所发生的继发性肺结核病灶通常不存在于肺尖部,空洞也不常见。常见纵隔淋巴结结核,因此其改变更像原发性肺结核。AIDS病人结核杆菌感染者50%以上的病例有结核菌的扩散。60%—80%病例有肺外结核病。
三、肺结核病血源播散所致病变
原发性和继发性肺结核除通过上述淋巴道和支气管播散外,也可通过血道播散引起粟粒性结核和肺外结核病。
由于肺内原发病灶或肺门干酪样坏死灶,及肺外结核病灶内的结核杆菌侵入血流或经淋巴管由胸导管人血,可引起血源播散性结核病。分以下几种类型:
1.急性全身粟粒性结核病(acute systemic miliary tuberculosis)
原因:结核杆菌在短时间内一次或反复多次大量侵入肺静脉分支,经左心至体循环,播散到全身各器官如肺、肝、脾和脑膜等处引起。
多见于原发性肺结核病恶化进展,又可见于其他类型的结核病播散,甚至见于死产的胎儿。
肉眼:各器官内均匀密布大小—致,灰白色,圆形,境界清楚的小结节。
镜下:主要为增生性病变,偶尔出现渗出、坏死为主的病变。
临床:病情凶险,有高热衰竭、烦躁不安等中毒症状。
X线:两肺有散在分布、密度均匀、粟粒大小细点状阴影。
病情危重,若能及时治疗,预后仍属良好。少数病例可因结核性脑膜炎而死亡。

2.慢性全身性粟粒性结核病
原因:①急性期不能及时控制而病程迁延3周以上 ②结核杆菌在较长时期内每次以少量反复多次不规则进人血液
病变的性质和大小均不一致,同时可见增生、坏死及渗出性病变。
病程长,成人多见。
3.急性肺粟粒性结核病(acutepulmonary miliary tuberculosis)
原因:①由于肺门、纵隔、支气管旁的淋巴结干酪样坏死破入邻近大静脉;②含有结核杆菌的淋巴液由胸导管回流,经静脉入右心,沿肺动脉播散于两肺;③急性粟粒性肺结核也可是急性全身性粟粒性结核病的一部分。
肉眼:肺表面和切面可见灰黄或灰白色粟粒大小结节。

4.慢性肺粟粒性结核病
多见于成人。
原因:由肺外某器官的结核病灶内的结核杆菌间歇入血而致病。
病程较长,病变新旧、大小不一。小的如粟粒,大者直径可达数厘米以上。
病变以增生性改变为主。
5.肺外结核病
肺外结核病除淋巴结结核由淋巴道播散所致,消化道结核可由咽下含菌的食物或痰液直接感染引起、皮肤结核可通过损伤的皮肤感染外,其他各器官的结核病多为原发性肺结核病血源播散所形成的潜伏病灶进一步发展的结果。
三、肺外结核病
一、肠结核病
肠结核病可分原发性和继发性两型。
原发性:很少见,常发生于小儿。一般由饮用带有结核杆菌的牛奶或乳制品而感染。可形成与原发性肺结核时原发综合征相似的肠原发综合征(肠的原发性结核性溃疡、结核性淋巴管炎和肠系膜淋巴结结核)。
继发性:占绝大多数。继发于活动性空洞型肺结核病,因反复咽下含结核杆菌的痰液所引起。
肠结核病大多(约85%)发生于回盲部,其他肠段少见。依其病变特点不同分两型。
1.溃疡型:此型多见。
病变特点:溃疡多呈环形,其长轴与肠腔长轴垂直。溃疡边缘参差不齐,一般较浅,底部有干酪样坏死物,其下为结核性肉芽组织。肠浆膜面见纤维素渗出和多数结核结节形成,连接成串。
结局:溃疡愈合后由于瘢痕形成和纤维收缩而致肠腔狭窄。

2.增生型:较少见。
病变特点:以肠壁大量结核性肉芽组织形成和纤维组织增生为其病变特征。肠壁高度肥厚、肠腔狭窄。粘膜面可有浅溃疡或息肉形成。
临床表现:慢性不完全低位肠梗阻。
二、结核性腹膜炎
青少年多见。
感染途径:①以腹腔内结核灶直接蔓延为主。溃疡型肠结核病是最常见的原发病灶,其次为肠系膜淋巴结结核或结核性输卵管炎。
②由腹膜外结核灶经血道播散至腹膜者少见。
根据病理特征可分干性和湿性两型,以混合型多见。
病理特点:腹膜上密布无数结核结节。
湿性以大量结核性渗出为特征,形成腹水。
干性因大量纤维素性渗出物机化而引起腹腔脏器的粘连。
三、结核性脑膜炎
以儿童多见,成人较少。
来源:①主要由于结核杆菌经血道播散所致。在儿童是肺原发综合征血行播散结果。成人,除肺结核病外,骨关节结核和泌尿生殖系统结核病引起。②可由于脑实质内的结核球液化溃破,大量结核杆菌进入蛛网膜下腔所致。
病变:以脑底最明显。在桥脑、脚间池、视神经交叉及大脑外侧裂等处之蛛网膜下腔内,有多量灰黄色混浊的胶胨样渗出物积聚。脑室脉络丛及室管膜有时也可有结核结节形成。病变严重者可累及脑皮质而引起脑膜脑炎。病程较长者则可发生闭塞性血管内膜炎,从而引起多发性脑软化。
结局:未经适当治疗而致病程迁延的病例,引起脑积水。
四、泌尿生殖系统结核病
1.肾结核病
最常见于20-40岁男性。多为单侧性。
来源:肺结核病的血道播散。
病变:大多起始于肾皮、髓质交界处或肾锥体乳头。最初为局灶性结核病变,继而发生干酪样坏死。然后破坏肾乳头而破入肾盂成为结核性空洞。以后由于病变的继续扩大,形成多个空洞,最后可使肾仅剩一空壳,肾功能丧失。

结局:输尿管和膀胱结核。
①输尿管结核:输尿管粘膜可发生溃疡和结核性肉芽肿形成,使管壁增厚、管腔狭窄,甚至阻塞,而引起肾盂积水或积脓。
②膀胱结核:以膀胱三角区最先受累,形成溃疡,以后可累及整个膀胱。肌壁受累后膀胱壁纤维化和肌层破坏,致膀胱容积缩小。膀胱结核可造成对侧肾肾盂积水而损害肾功能。
2.生殖系统结核病
(1)男性生殖系统结核病:
来源:①直接蔓延多见。与泌尿系统结核病有密切关系,结核杆菌可使前列腺和精囊感染,并可蔓延至输精管、附睾等处。②血源感染偶见。
病变器官有结核结节和干酪样坏死形成。
附睾结核是男性不育的重要原因之一。
(2)女性生殖系统结核病:
来源:多由血道或淋巴道播散而来,也可由邻近器官的结核病蔓延而来。
以输卵管结核最多见,为女性不孕的原因之一,其次是子宫内膜和卵巢结核。
五、骨与关节结核病
骨关节结核多见于儿童和青少年,多由血源播散所致。
1.骨结核
好发部位:多侵犯脊椎骨、指骨及长骨骨骺(股骨下端和胫骨上端)等处。
病变常由骨松质内的小结核病灶开始,以后可发展为干酪样坏死型或增生型。
干酪样坏死型:
可见明显干酪样坏死和死骨形成。
坏死物液化后在骨旁形成结核性“脓肿”,由于局部并无红、热、痛,故又称“冷脓肿”。
增生型:
比较少见,主要形成结核性肉芽组织,但无明显的干酪样坏死和死骨形成。
脊椎结核是骨结核中最常见者,多见于第10胸椎至第2腰椎。病变起自椎体,常发生干酪样坏死,以后破坏椎间盘和邻近椎体。由于病变椎体不能负重而发生塌陷,引起脊椎后突畸形。如病变穿破骨皮质可在脊柱两侧形成“冷脓肿”(cold abscess),或沿筋膜间隙坏死物下流,在远隔部位形成“冷脓肿”。
2.关节结核
以髋、膝、踝、肘等关节结核多见,多继发于骨结核。
病变通常开始于骨骺或干骺端,发生干酪样坏死。当病变发展侵入关节软骨和滑膜时则成为关节结核。
关节结核痊愈时,关节腔常被大量纤维组织充填,造成关节强直,失去运动功能。
六、淋巴结结核病
多见于儿童和青年。
来源:来自肺门淋巴结结核的播散,亦可来自口腔、咽喉部结核感染灶。
好发部位:以颈部、支气管和肠系膜淋巴结多见,尤以颈部淋巴结结核最为常见。
病变:淋巴结常成群受累,有结核结节形成和干酪样坏死。淋巴结逐渐肿大,彼此粘连,形成较大的包块。


