教学内容(重点内容--红色字体)
第二节 伤 寒
伤寒(typhoid fever)是由伤寒杆菌引起的急性传染病。
病变特征是全身单核巨噬细胞系统细胞的增生,以回肠末端淋巴组织的病变最为突出。
临床表现为持续高热、相对缓脉、脾肿大、皮肤玫瑰疹及中性粒细胞和嗜酸性粒细胞减少等。
一、病因及传染途径
病原菌:伤寒杆菌------沙门氏菌属中的D族,革兰阴性。
菌体裂解时所释放的内毒素是致病的主要因素。
临床检测:肥达反应(+)
传染源:伤寒患者或带菌者;传播途径:消化道感染;易感人群:儿童及青壮年多见。
全年均可发病,以夏秋两季最多。
二、发病机制
伤寒杆菌进入小肠穿过小肠粘膜上皮细胞而侵入肠壁淋巴组织,尤其是回肠末端的集合淋巴小结或孤立淋巴小结。并沿淋巴管到达肠系膜淋巴结。淋巴组织中的伤寒杆菌被巨噬细胞吞噬,并在其中生长繁殖,又可经胸导管进入血液,引起菌血症。血液中的细菌很快就被全身单核巨噬细胞系统的细胞所吞噬,并在其中大量繁殖,致肝、脾、淋巴结肿大。这段时间患者没有临床症状,故称潜伏期,约10天左右。此后,随着细菌的繁殖和内毒素释放再次入血,病人出现败血症和毒血症症状。由于胆囊中大量的伤寒杆菌随胆汁再次入肠,重复侵入已致敏的淋巴组织,使其发生强烈的过敏反应致肠粘膜坏死、脱落及溃疡形成。
三、病理变化及临床病理联系(重点!)
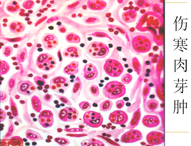
伤寒杆菌引起的炎症是以巨噬细胞增生为特征的急性增生性炎。主要形成具有特征性的伤寒肉芽肿。
伤寒细胞(重点!):增生活跃时巨噬细胞质内吞噬有伤寒杆菌、红细胞和细胞碎片,而吞噬红细胞的作用尤为明显。这种巨噬细胞称伤寒细胞。

伤寒肉芽肿(重点!)(typhoid granuloma):伤寒细胞常聚集成团,形成小结节称伤寒肉芽肿或伤寒小结(typhoid nodule),是伤寒的特征性病变,具有病理诊断价值。

1.肠道病变(重点!)
部位:以回肠下段集合和孤立淋巴小结的病变最为常见和明显。按病变发展过程分四期,每期大约持续一周。
(1)髓样肿胀期:起病第一周,回肠下段淋巴组织略肿胀,隆起于粘膜表面,色灰红,质软。隆起组织表面形似脑的沟回,以集合淋巴小结最为典型。
(2)坏死期:发生于起病第二周,多种原因致病灶局部肠粘膜坏死。
(3)溃疡期:坏死肠粘膜脱落后形成溃疡。溃疡边缘隆起,底部不平。在集合淋巴小结发生的溃疡,其长轴与肠的长轴平行。孤立淋巴小结处的溃疡小而圆。
溃疡一般深及粘膜下层,坏死严重者可深达肌层及浆膜层,甚至穿孔,如侵及小动脉,可引起严重出血。


(4)愈合期:相当于发病第四周。溃疡处肉芽组织增生将其填平,溃疡边缘上皮再生覆盖而告愈合。
由于临床上早期有效抗生素的应用,目前临床上很难见到上述四期的典型病变。
2.其他单核巨噬细胞系统的病变
肠系膜淋巴结、肝、脾及骨髓由于巨噬细胞的活跃而致相应组织器官肿大。镜检可见伤寒肉芽肿和灶性坏死。
3.其它脏器的病变
①心肌:心肌纤维水肿,严重者可出现中毒性心肌炎,表现为相对缓脉。
②肾:免疫复合物性肾炎
③皮肤:玫瑰疹(皮肤中可查出伤寒杆菌)
④肌肉:膈肌,腹直肌和股内收肌常发生凝固性坏死(亦称蜡样变性)。
⑤胆囊:大多数伤寒患者胆囊无明显病变,但伤寒杆菌可在胆汁中大量繁殖。即使病人临床痊愈后,细菌仍可在胆汁中生存,并通过胆汁由肠道排出,在一定时期内仍是带菌者,有的患者甚至可成为慢性带菌者或终身带菌者。
4.结局和并发症
如无并发症,一般经4—5周痊愈,并获得较强的免疫力。
并发症:
①肠出血和肠穿孔
②支气管肺炎
③其它:少见。慢性感染病例亦可累及关节、骨、脑膜及其他部位。

