教学内容(重点内容--红色字体)
第三节 细菌性痢疾
细菌性痢疾(bacillary dysentery)是由痢疾杆菌引起一种假膜性肠炎。
病变多局限于结肠,以大量纤维素渗出形成假膜为特征,假膜脱落伴有不规则浅表溃疡形成。
临床主要表现为腹痛、腹泻、里急后重、粘液脓血便。
一、病因及传染途径
痢疾杆菌是革兰阴性短杆菌。按抗原结构和生化反应可分四群,即福氏、宋内氏、鲍氏和志贺氏菌。四群均能产生内毒素,志贺氏菌尚可产生强烈外毒素。
传染源:患者和带菌者。
传染途径:消化道传播。
菌痢全年均可发病,但以夏秋季多见。
好发于儿童,其次是青壮年,老年患者较少。
二、发病机制
痢疾杆菌经口入胃后,大部分被胃酸杀死,仅少部分进入肠道。细菌在结肠(也可能是小肠末端)内繁殖,从上皮细胞直接侵入肠粘膜,并在粘膜固有层内增殖。随之细菌释放内毒素,使肠粘膜产生溃疡。菌体内毒素吸收入血,引起全身毒血症。志贺氏杆菌释放的外毒素,是导致水样腹泻的主要因素。
三、病理变化与临床病理联系
部位:主要发生于大肠,尤以乙状结肠和直肠为重。病变严重者可波及整个结肠甚至回肠下段。
根据肠道病变特征、全身变化及临床经过的不同,菌痢分为以下三种:
1.急性细菌性痢疾
病变特点:
①初期的急性卡他性炎
粘液分泌亢进,粘膜充血、水肿、中性粒细胞和巨噬细胞浸润。可见点状出血。
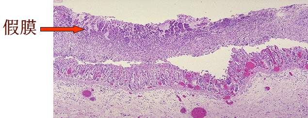
②随后的特征性假膜性炎和溃疡形成
肉眼:假膜呈灰白色糠皮状,首先出现于粘膜皱襞的顶部,随着病变扩大融合成片。

镜下:假膜由大量纤维素、坏死组织、炎症细胞和红细胞及细菌组成。

假膜脱落,形成大小不等,形状不一的“地图状”溃疡。溃疡多较浅表。
③最后愈合
肠粘膜渗出物和坏死组织逐渐被吸收、排出,经周围健康组织再生缺损得以修复。
临床表现:阵发性腹痛、腹泻,排粘液脓血便,里急后重。病程一般1—2周。
结局:经适当治疗大多痊愈;少数病例可转为慢性。
并发症如肠出血、肠穿孔少见。
2.慢性细菌性痢疾
菌痢病程超过两个月以上者称为慢性菌痢。
多由急性菌痢转变而来,以福氏菌感染者居多。
病变特点:
①肠道病变此起彼伏,新旧共存。
②有慢性溃疡形成,溃疡边缘粘膜过度增生形成息肉。
③肠壁反复受损,纤维组织增生,肠壁增厚变硬,肠腔狭窄。
临床表现:①依肠道病变而定,可有腹痛、腹胀、腹泻等肠道症状。
②由于炎症的加剧,出现急性菌痢的症状称慢性菌痢急性发作。
③少数慢性菌痢患者可无明显的症状和体征,培养持续阳性,成为慢性带菌者,常成为传染源。
3.中毒型细菌性痢疾
多见于2-7岁儿童。
病原菌常为毒力较低的福氏或宋内氏痢疾杆菌。
病变特点:
①起病急骤。
②有严重的全身中毒症状,发病后数小时即可出现中毒性休克或呼吸衰竭而死亡。
③肠道病变和症状轻微(表现为卡他性炎,有时为滤泡性肠炎)。

