教学内容(重点内容---红色字体)
性传播性疾病
性传播性疾病(sexually transmitted diseases,STD)是指通过性接触而传播的一类疾病。性病包括梅毒、淋病、软下疳、性病性淋巴肉芽肿和腹股沟淋巴肉芽肿等20余种。本节仅叙述淋病、尖锐湿疣、梅毒和艾滋病。
注:艾滋病内容:第五章 免疫性疾病 第二节 继发性免疫缺陷病
一、淋 病
淋病(gonorrhea)是由淋球菌引起的急性化脓性炎,是最常见的STD。
病变主要累及泌尿生殖系统,多发生于15-30岁年龄段,以20-24岁最常见。
一、病因及传播途径
病原菌:淋球菌
传染源:淋病患者和带菌者
传染途径:性接触传染(主要),间接接触传染(少见),母婴传染
二、病理变化及临床病理联系
主要侵犯男、女泌尿生殖系统。
病变特点是:淋球菌侵犯尿道和尿道附属腺体引起急性卡他性化脓性炎。
1.在男性,病变从前尿道开始,可逆行蔓延到后尿道,波及前列腺、精囊和附睾,引起急性化脓性炎症。慢性炎症可导致尿道狭窄和男性不育。

2.在女性,病变可累及外阴和阴道腺体、子宫颈、宫内膜、输卵管、卵巢,引起化脓性炎症、输卵管积脓、输卵管卵巢脓肿、盆腔炎。慢性炎症导致女性不孕。
少部分病例可经血行播散引起身体其他部位的病变,以女性多见。
二、尖锐湿疣
尖锐湿疣(condyloma acuminatum)是由HPV(主要是HPV6型和11型)引起的STD。最常发生于20-40岁年龄组。
一、病因及传播途径
病原体:HPV病毒(主要是HPV6型和11型)。
应用免疫组织化学方法可检测HPV抗原,用原位杂交、PCR和原位PCR技术可检测HPV DNA,帮助诊断。
传染途径:主要通过性接触传播,但也可以通过非性接触的间接感染而致病。
二、病理变化
好发部位:潮湿温暖的粘膜和皮肤交界的部位。男性常见于阴茎冠状沟、龟头,系带、尿道口或肛门附近。女性多见于阴蒂、阴唇、会阴部及肛周。可发生于身体的其他部位如腋窝等。
肉眼:初起为小而尖的突起,逐渐扩大。淡红或暗红,质软,表面凹凸不平,呈疣状颗粒。有时较大呈菜花状生长。

镜下:
1.表皮角质层轻度增厚,角化不全,棘层肥厚,有乳头状瘤样增生,表皮突增粗延长,偶见核分裂。

2.表皮浅层凹空细胞出现有助诊断。
凹空细胞较正常细胞大,胞质空泡状,细胞边缘常残存带状胞质。核增大居中,圆形,椭圆形或不规则形,染色深,可见双核或多核。

3.真皮层可见毛细血管及淋巴管扩张,大量慢性炎症细胞浸润。
三、梅 毒
梅毒(syphilis)是由梅毒螺旋体引起的传染病。流行于世界各地,我国解放后经积极防治基本消灭了梅毒,但近年来又有新的病例发现,尤其在沿海城市有流行趋势。
一、病因及传播途径
病原体:梅毒螺旋体

传染源:梅毒患者
传染途径:95%以上通过性交传播,少数可因输血、接吻、医务人员不慎受染等直接接触传播(后天性梅毒)。梅毒螺旋体还可经胎盘感染胎儿(先天性梅毒)。
二、基本病变
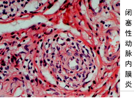
1.闭塞性动脉内膜炎和血管周围炎:见于各期梅毒
闭塞性动脉内膜炎:小动脉内皮细胞及纤维细胞增生,使管壁增厚、血管腔狭窄闭塞。
血管周围炎:围管性单核细胞、淋巴细胞和浆细胞浸润。浆细胞恒定出现是本病的病变特点之一。


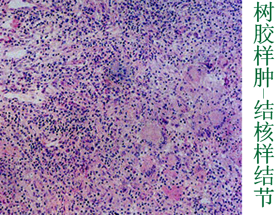
2.树胶样肿(gumma):见于第三期梅毒
可发生于任何器官,最常见于皮肤、粘膜、肝、骨和睾丸。
肉眼:灰白色,大小不一,从镜下才可见到的大小至数厘米不等。质韧有弹性,如树胶。
镜下:结构颇似结核结节,中央为凝固性坏死,形态类似干酪样坏死,坏死灶周围肉芽肿中富含淋巴细胞和浆细胞,而上皮样细胞和Langerhans巨细胞较少,且必有闭塞性小动脉内膜炎和动脉周围炎。
树胶样肿后期可被吸收、纤维化,最后使器官变形,但绝少钙化。

三、梅毒的类型
梅毒分先天性和后天性两种。
(一)后天性梅毒
后天性梅毒分一、二、三期。一、二期梅毒称早期梅毒,有传染性。三期梅毒又称晚期梅毒,因常累及内脏,故又称内脏梅毒。
1.第一期梅毒
时间:梅毒螺旋体侵入人体后3周左右
病变特点:
①硬性下疳
部位:阴茎冠状沟、龟头、子宫颈、阴唇,亦可发生于口唇、舌、肛周等处。
肉眼:常为单个,直径约1cm,表面可发生糜烂或溃疡,溃疡底部及边缘质硬。
镜下:闭塞性小动脉内膜炎和动脉周围炎。

②局部淋巴结肿大
镜下呈非化脓性增生性反应。
硬性下疳经1个月左右多自然消退,仅留浅表的瘢痕,局部肿大的淋巴结也消退。临床上处于静止状态,但体内螺旋体仍继续繁殖。
2.第二期梅毒
时间:硬性下疳发生后7-8周
肉眼:全身皮肤、粘膜广泛的梅毒疹和全身性非特异性淋巴结肿大。

镜下:闭塞性动脉内膜炎和血管周围炎改变,病灶内可找到螺旋体。
此期梅毒传染性大。梅毒疹可自行消退。
3.第三期梅毒
时间:常发生于感染后4-5年
部位:病变累及内脏,特别是心血管和中枢神经系统。
病变特点:以树胶样肿和瘢痕形成为特征,导致器官变形和功能障碍。
①心血管梅毒:病变侵犯主动脉,可引起梅毒性主动脉炎、主动脉瓣关闭不全、主动脉瘤等。梅毒性主动脉瘤破裂常是患者猝死的主要原因。
②中枢神经系统梅毒:主要累及中枢神经及脑脊髓膜,可导致脑膜血管梅毒、麻痹性痴呆和脊髓痨。
③其他器官:a.肝脏树胶肿:分叶肝。
b.骨树胶肿:主要累及颅骨、鼻骨、胸骨和股骨,可导致骨折。鼻骨被破坏形成马鞍鼻。
c.睾丸树胶肿:可误诊为肿瘤。
(二)先天性梅毒
先天性梅毒是受病原体感染的妇女受孕时,病菌经血液通过胎盘感染胎儿所致。
先天性梅毒根据被感染胎儿发病的早晚有早发性和晚发性之分。
1.早发性先天性梅毒
胎儿或婴幼儿期发病的先天性梅毒,发病在2岁以内。
病变特征为皮肤和粘膜的广泛大疱和大片剥脱性皮炎,内脏病变处淋巴细胞和浆细胞浸润,动脉内膜炎,间质弥漫性纤维组织增生和发育不良等。
2.晚发性先天性梅毒
发生在2岁以上幼儿的梅毒。
患儿发育不良,智力低下。间质性角膜炎、Hutchinson齿及神经性耳聋构成本型梅毒的三联征。
四、艾滋病
获得性免疫缺陷综合征(acquired immunodeficiency syndrome,AIDS)乃由一种逆转录病毒即人类免疫缺陷病毒(HIV)感染引起,其特征为免疫功能缺陷伴机会性感染和(或)继发性肿瘤。临床表现为发热、乏力、体重下降、全身淋巴结肿大及神经系统症状。
自1981年首先由美国疾病控制中心报道以来,根据世界卫生组织提供的资料,至1999年估计已有1390万人死于本病,现仍生存的HIV携带者和艾滋病患者约3360万人。艾滋病在我国的传播分为三个阶段:第一阶段为入期,1985-1989年以国外传入为主;第二阶段为播散期,自1989年后,国内感染急剧上升;第三阶段为流行期,即HIV已在普通人群中存在,目前我国HIV实际感染人群已超过40万人。
一、病因和发病机制
1.病因
(1)病原体:
由HIV感染所引起,HIV属逆转录病毒科,慢病毒亚科,为单链RNA病毒。
已知HIV分为HIV-1和HIV-2两个亚型。
HIV-1:世界各地的AIDS主要由HIV-l所引起。HIV-l又被分为A至H及O共9个亚型。
HIV-2:在西非地区呈地方性流行。
我国存在HIV-1和HIV-2的混合感染。
(2)传染源:患者和无症状病毒携带者是本病的传染源。
(3)传播途径:(重点!)
①性接触传播,目前我国主要传播途径;
②应用污染的针头作静脉注射;
③输血和血制品的应用;
④母体病毒经胎盘感染胎儿或通过哺乳、粘膜接触等方式感染婴儿;
⑤医务人员职业性传播,少见。
2.发病机制:
(1)HIV感染CD4+T细胞:CD4分子是HIV的主要受体,故CD4+T细胞在HIV直接和间接作用下,细胞功能受损和大量细胞被破坏,导致细胞免疫缺陷。由于其他免疫细胞均不同程度受损,因而促进并发各种严重的机会性感染和肿瘤发生。
当HIV进入人体后,嵌于病毒包膜上的gpl20与CD4+T细胞膜上CD4受体结合,同时
HIV又以趋化因子受体CXCR4和CCR5作为共受体(coreceptor)进行识别,即HIV必须同时与CD4受体和共受体结合后才能进入细胞内。CXCR4为HIV附着淋巴细胞所必需,而CCR5则促进HIV进入巨噬细胞。进入细胞后,病毒RNA链经逆转录酶的作用在细胞内合成反义链DNA,然后被运送至细胞核,在核内经多聚酶作用复制为双股DNA,经整合酶的作用,与宿主基因组整合。整合后的环状病毒DNA称前病毒(provirus),此时病毒处于潜伏状态。经数月至数年的临床潜伏期,前病毒可被某些因子所激活(如肿瘤坏死因子,IL-6等)而开始不断复制,在细胞膜上装配成新病毒并以芽生方式释放入血,释出后的病毒再侵犯其他靶细胞。病毒复制的同时可直接导致受感染CD4+T细胞破坏,溶解。进一步引起淋巴因子产生减少,CD8+T细胞、巨噬细胞、NK细胞、B细胞的功能减弱,引起机会性感染和肿瘤。
(2)HIV感染组织中单核巨噬细胞:其感染过程与CD4+T细胞存在不同之处,在于:①因巨噬细胞表达低水平CD4,所以HIV一方面可通过gpl20与CD4结合的方式感染巨噬细胞;另一方面也可通过细胞的吞噬作用进入细胞或经Fc受体介导的胞饮作用而使由抗体包被的HIV进入细胞;②病毒可在巨噬细胞内大量复制,但通常储存于胞质内,不像CD4+T细胞那样在胞膜上大量出芽。单核巨噬细胞能抵抗HIV的致细胞病变作用,因而不会迅速死亡,反可成为HIV的储存场所,并在病毒扩散中起重要作用。可携带病毒通过血脑屏障,从而引起中枢神经系统感染。
近来的研究结果表明,淋巴结生发中心的滤泡树突状细胞也可受到HIV的感染并成为HIV的“储备池”。
综合以上后果,导致严重免疫缺陷,构成了AIDS发病的中心环节。
二、病理变化
病变可归纳为全身淋巴组织的变化,机会性感染和恶性肿瘤三个方面。
1.淋巴组织的变化
淋巴结的改变大致可分为增生、部分破坏和全部破坏三个阶段。
①早期,淋巴结肿大。镜下,最初有淋巴小结明显增生,生发中心活跃,髓质内出现较多浆细胞。电镜下或通过原位杂交法检测,HIV分子位于生发中心内,主要集中于滤泡树突状细胞,也可出现于巨噬细胞及CD4+细胞。
②随后滤泡外层淋巴细胞减少或消失,小血管增生,生发中心被零落分割。副皮质区的CD4+细胞进行性减少,代之以浆细胞浸润。
③晚期淋巴结呈现一片荒芜,淋巴细胞几乎消失殆尽,仅有一些巨噬细胞和浆细胞残留。有时特殊染色可显现大量分枝杆菌、真菌等病原微生物,却很少见到肉芽肿形成等细胞免疫反应性病变。
脾、胸腺也表现为淋巴细胞减少。
2.继发性感染
多发性机会感染是本病另一特点。
①感染范围广泛,可累及各器官,其中以中枢神经系统、肺、消化道受累最为常见。由于严重的免疫缺陷,感染所致的炎症反应往往轻而不典型。
②70%-80%的患者可经历一次或多次肺孢子虫(pneumocystis)感染,在艾滋病因机会感染而死亡的病例中,约一半死于肺孢子虫感染,因而对诊断本病有一定参考价值。
③约70%的病例有中枢神经系统受累,其中继发性机会感染有弓形虫或新型隐球菌感染所致的脑炎或脑膜炎;巨细胞病毒和乳头状瘤空泡病毒所致的进行性多灶性白质脑病等。由HIV直接引起的疾病有脑膜炎、亚急性脑病、痴呆等。
3.恶性肿瘤
约有30%的患者可发生Kaposi肉瘤。
肉眼:累及皮肤、粘膜及内脏,以下肢最多见。肿瘤呈暗蓝或紫红色多灶结节。
镜下:瘤细胞多为梭形,呈不规则束状排列,核圆或梭形、深染、有一定异型性,可见核分裂。瘤细胞间出现毛细血管样裂隙,内含红细胞。
其他常见的伴发肿瘤为淋巴瘤。
三、临床病理联系
本病潜伏期较长,一般认为经数月至10年或更长才发展为AIDS。
近年世界卫生组织和美国疾病控制中心修订了HIV感染的临床分类,将其分为三大类:①A类,包括急性感染、无症状感染和持续性全身淋巴结肿大综合征;②B类,包括免疫功能低下时出现的AIDS相关综合征、继发细菌及病毒感染和发生淋巴瘤等;③C类,患者已有严重免疫缺陷,出现各种机会性感染、继发性肿瘤以及神经系统症状等AIDS表现。
AIDS按病程可分为三个阶段:
①早期或称急性期,感染HIV3-6周后可出现咽痛、发热、肌肉酸痛等一些非特异性表现。病毒在体内复制,但由于患者尚有较好的免疫反应能力,2-3周后这种症状可自行缓解。
②中期或称慢性期,机体的免疫功能与病毒之间处于相互抗衡阶段,在某些病例此期可长达数年或不再进入末期。此期病毒复制持续处于低水平,临床可以无明显症状或出现明显的全身淋巴结肿大,常伴发热、乏力、皮疹等。
③后期或称危险期,机体免疫功能全面崩溃,病人有持续发热、乏力、消瘦、腹泻,并出现神经系统症状,明显的机会性感染及恶性肿瘤,血液化验可见淋巴细胞明显减少,CD4+细胞减少尤为显著,细胞免疫反应丧失殆尽。
本病的预后差,发病后5年死亡率达100%。目前抗HIV治疗主要采用逆转录酶抑制剂和蛋白酶抑制剂。现主张联合用药,如齐多夫定、拉米呋啶和IDV联合应用,称高效抗逆转录病毒疗法。
大力开展预防,对防止AIDS流行仍至关重要。

