-
1 章节学习
-
2 章节测验
第一节 充 血
局部组织或器官血管内血液含量增多称为充血(hyperemia)。按其发生的原因和机制不同,可分为动脉性充血和静脉性充血两类。
1.动脉性充血
由于动脉血液流入过多引起局部组织或器官血管内血量增多,称动脉性充血(arterial hyperemia)或主动性充血(active hyperemia),简称充血(hyperemia)。
(一)原因
凡能引起细小动脉扩张的任何原因,都可引起局部组织器官的充血。细小动脉扩张是神经-体液因素作用于血管,使血管舒张神经兴奋性增高,或血管收缩神经兴奋性降低所致。由于器官和组织的代谢、功能加强而发生的充血,如运动时的骨骼肌充血、情绪激动时面部充血等,属生理性充血。由于理化因素、细菌毒素等刺激引起的充血,属病理性充血,多见以下类型:
⒈炎性充血 见于局部炎症反应的早期,由于致炎因子刺激引起的轴突反射使血管舒张神经兴奋,以及局部炎症介质(如组胺、缓激肽等)作用于血管壁,使局部血管扩张而引起充血。
⒉减压后充血 局部组织和器官长期受压后,组织内血管张力降低,一旦压力突然解除,局部受压组织内的细小动脉反射性扩张充血,称为减压后充血。例如急性尿潴留病人,由于膀胱过度膨胀,尿液压迫膀胱壁及膀胱周围器官血管,临床上施行导尿术时,如尿液排出过急过快,膀胱内压力突然解除可致减压后充血,严重者局部血管不能承受充血压力而破裂出血。
(二)病理变化
动脉性充血肉眼观:局部组织、器官体积略增大,颜色鲜红。由于局部动脉扩张,血流加快,物质代谢增强,温度升高,功能活动也增强。可概括为“红、肿、热、功能增强”。光镜下主要表现为细小动脉和毛细血管扩张,局部血管内血量增多。
(三)后果
动脉性充血是一种暂时的血管反应,原因消除后,可恢复正常,一般不引起不良后果。由于动脉性充血时,局部的氧及营养物质供应增多,局部组织代谢、功能增强,抗损伤能力提高,故充血通常对机体有利。但对于已有病损的动脉,如动脉粥样硬化、脑内小动脉瘤形成等,严重充血时可引起血管破裂出血,引起严重后果。
2.静脉性充血
组织或器官由于局部静脉回流受阻,血液淤积于小静脉和毛细血管内,称为静脉性充血(venous hyperemia),又称被动性充血(passive hyperemia),简称淤血(congestion)。
(一)原因
静脉性充血的原因很多,凡能引起静脉血液回流受阻的各种因素,均可引起静脉性充血。
1.静脉受压 静脉受压使其管腔变小或闭塞,血液回流受阻,引起局部淤血。如肿瘤、炎症包块等压迫局部静脉引起相应组织淤血;妊娠子宫压迫髂静脉引起淤血;肠扭转、肠套叠时肠系膜静脉受压引起的肠淤血;肝硬化时增生的结缔组织压迫门静脉分支引起淤血等。
2.静脉腔阻塞 静脉腔内血栓或肿瘤栓子等阻塞,静脉内膜炎性增厚,均可造成静脉管腔狭窄或闭塞,导致回流受阻引起相应组织或器官淤血。
3.心力衰竭 心力衰竭时,心输出量减少,心腔内血液滞留,压力增高,阻碍了静脉的回流,造成淤血。左心衰竭时发生肺循环淤血,右心衰竭时体循环淤血(肝、脾、肾、胃肠道和肢体等淤血)。
(二)病理变化
肉眼观:淤血组织及器官体积增大,包膜紧张,重量增加。淤血部位血液中氧合血红蛋白减少,还原血红蛋白增多,致局部组织、器官呈暗红色或紫红色。当血液中还原血红蛋白超过50g/L时,局部皮肤或粘膜可呈紫蓝色,称为发绀(cyanosis)。局部组织、器官得不到充足的氧和营养物质,代谢功能下降,产热减少,故在体表淤血区温度降低。可概括为“紫、肿、凉、功能降低”。光镜下可见局部组织小静脉和毛细血管显著扩张,充盈血液。
(三)淤血的影响和结局
淤血的影响取决于静脉阻塞发生的速度、阻塞的程度、淤血的部位以及淤血持续的时间等因素。如果静脉阻塞是逐渐发生的,血液可通过侧支循环回流代偿,可不发生淤血或淤血较轻。较长时间淤血可以引起:
1. 淤血性水肿 淤血时小静脉和毛细血管内流体静压升高,使组织液生成增多,回流减少,加之局部组织内代谢中间产物蓄积,损害毛细血管,使其通透性增高,在局部形成水肿。
2. 淤血性出血 严重缺氧时还可使血管壁的通透性进一步增高,红细胞从血管内漏出,形成出血。
3. 实质损伤 长期淤血,局部缺氧加重,氧化不全的代谢产物大量堆积,可使实质细胞发生萎缩、变性及坏死。
4. 间质增生 长期淤血在引起脏器实质细胞损伤的同时,间质纤维增生,同时网状纤维胶原化,致器官质地变硬,称淤血性硬化(congestive sclerosis)。
(四)重要器官的淤血
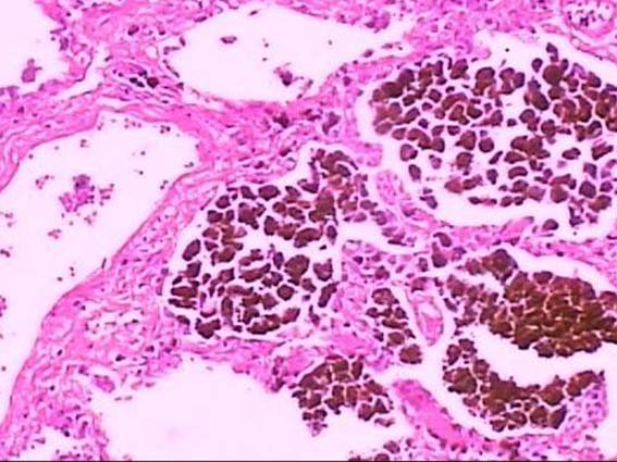
1.慢性肺淤血 常由左心衰竭所致。肉眼观察:肺体积增大,重量增加,呈暗红色,质地变实,切开时断面可流出淡红色泡沫状液体(图5-1a)。光镜下:肺泡间隔毛细血管扩张淤血,肺泡间隔增宽。肺泡腔内可有淡红色的水肿液、红细胞。肺泡内的红细胞被巨噬细胞吞噬,来自红细胞的血红蛋白被分解成棕黄色的含铁血黄素颗粒,这种吞噬有含铁血黄素的巨噬细胞称为心力衰竭细胞(heart failure cell)(图5-1b)。心力衰竭细胞多见于肺泡腔内,亦可见于肺间质或患者的痰内。长期肺淤血,引起肺间质纤维组织增生,质地变硬,再加上含铁血黄素的沉积,肺组织呈棕褐色,称为肺褐色硬化(brown induration of lung)。

图5-1a 慢性肺淤血

图5-1b 慢性肺淤血
肺泡壁增厚,纤维组织增生,肺泡腔内大量含铁血红素颗粒,即“心衰细胞”
2.慢性肝淤血 常由右心衰竭引起。肉眼观:肝脏体积增大,重量增加,包膜紧张且略增厚,质较实,色暗红,在肝切面上构成红黄相间的网络状花纹(肝细胞脂肪变性区呈灰黄色,而肝小叶中央静脉和肝窦因淤血呈深红色,表现为红黄相间),形似槟榔的切面,故称为槟榔肝(nutmeg liver)(图5-2a)。光镜下:小叶中央静脉及其周围的肝血窦高度扩张充血,小叶中央区的肝细胞发生萎缩甚至消失,小叶周边区的肝细胞因缺氧而发生细胞水肿、脂肪变性。长期慢性肝淤血时,由于小叶中央肝细胞萎缩消失,网状纤维胶原化,同时汇管区纤维结缔组织增生,形成淤血性肝硬化(congestive liver cirrhosis)。

图5-2a 慢性肝淤血
红黄相间形似槟榔的切面

图5-2b 慢性肝淤血
中央区肝细胞坏死呈淤血区(红),周围肝细胞发生脂肪变性(黄)

